

Spark™ Junior bietet einen zweiphasigen Behandlungsplan, der speziell für junge Patienten entwickelt wurde. Es unterstützt eine kontinuierliche, individuelle kieferorthopädische Versorgung vom Kindes- bis ins Jugendalter – für ein Spark-Lächeln, das Ihre Patienten lieben werden.

Vereinfachen Sie Ihre Praxis mit der in Ihren digitalen Workflow integrierten Klasse-II-Korrektur


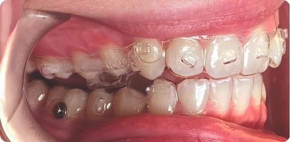
Spark™ BiteSync ist ein Klasse-II-Korrektursystem, das einen koordinierten Vorschub des Unterkiefers, eine Distalisierung des Oberkiefers und eine Ausrichtung der Zähne ermöglicht, ohne dass eine separate Apparatur erforderlich ist. Das System besteht aus einem Okklusions-Guide und einer SideBar, die miteinander verbunden sind und durch Klasse-II-Gummizüge unterstützt werden. Diese können gemeinsam oder unabhängig voneinander verwendet werden.

BiteSync wird in der Spark-Software an die Bedürfnisse jedes einzelnen Patienten angepasst. Wählen Sie einfach die Spark BiteSync-Option innerhalb des DTX Portals aus. Planen und genehmigen Sie dann den Fall.


Das elegante und dennoch robuste Design bietet die Langlebigkeit, Effizienz und Flexibilität, die Sie für die Behandlung von Kindern mit Wechselbiss sowie von Teenagern benötigen.

BiteSync Klasse II-Korrektursystem
BiteSync ist ein integriertes System für die koordinierte Unterkiefer-Vorverlagerung, zur Distalisierung des Oberkiefers und zur Ausrichtung der Zähne, das auf bewährter Biomechanik basiert. BiteSync ist mit Spark Junior Phase 1 und Phase 2 erhältlich.

Individuell abgestimmte Funktionalitäten
Entspricht den besonderen Bedürfnissen der Behandlung junger Patienten. Alle Standardmerkmale, abhängig von der Kronengröße und dem Verhältnis zu den benachbarten Zähnen oder Antagonisten, werden für Spark Junior verfügbar sein.

Praxisfreundlich
Entwickelt, um sich nahtlos in Ihre Praxis einzufügen – und dabei sowohl die Behandlungsergebnisse Ihrer Patienten als auch reibungslose Arbeitsabläufe zu unterstützen. Lassen Sie sich zwischen Phase 1 und Phase 2 so viel Zeit wie nötig.

Bequem und transparent
Hergestellt aus dem TruGEN™-Material von Spark, das eine bequeme Passform und eine dezente Optik gewährleistet.¹ TruGen™ XR ist auch eine empfohlene Option für junge Patienten.

Hier ist die von Annabelle

Ormco unterstützt Sie mit allen notwendigen Marketingmaterialien, um Eltern und Kindern zu erklären, warum nahezu transparente Aligner die optimale Behandlungsoption sein könnten.




Vereinbaren Sie eine Demo

Nehmen Sie an einem kostenlosen Onboarding-Call teil

Wir erstellen Ihr Spark-Konto, Spark-Anbieter erhalten eine kostenlose Marketing-Toolbox und können auf der Arztsuche unter sparkaligners.com aufgeführt werden
